Case 3 - Ralph
Tibial tuberosity avulsion fracture - FBD, 25-week-old, male entire
Ralph presented with non-weight-bearing lameness in his left pelvic limb following a jump over a baby gate. On examination, there was localized pain and inflammation over the tibial crest.
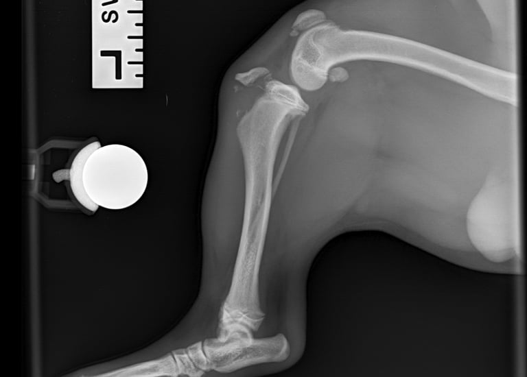
Lateral radiographs revealed a complete avulsion of the left tibial crest (Fig. 1), along with a mild lesion at the distal pole of the patella. For comparison, a lateral view of the right limb is included, demonstrating a normal appearance of the tibial crest growth plate (Fig. 2).
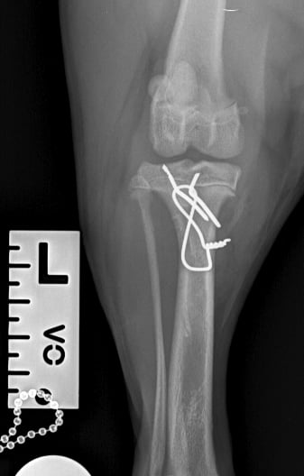
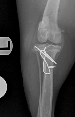
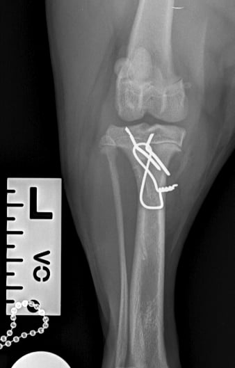
Surgical repair was performed using a medial approach to the proximal tibia. The avulsed tibial tuberosity fragment was identified, anatomically repositioned, and stabilized with two 1.2 mm Kirschner pins and a 1 mm tension band wire (Figs. 3 and 4).
At the first post-operative recheck (3 days), Ralph was already weight-bearing with moderate lameness, and the surgical wound demonstrated excellent early healing.
Six-week follow-up radiographs showed good ossification and healing of the fracture line, with progressive improvement also noted in the patellar avulsion lesion (Figs. 5 and 6).
Fig. 1
Fig. 2
Fig. 3
Fig. 4
Fig. 5
Fig. 6
Troya Surgery
Specialized mobile surgical services for veterinary practices.
Contact details
Email: troya.surgery@gmail.com
Telephone: 0771 625 1040
© 2024. All rights reserved.
WhatsApp: +44 771625 1040


