Case 5 - Bonnie
Tibia fracture - Mini Dachshund, 2y, female
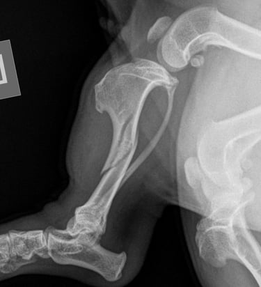
This small and sweet 5.4 kg female patient sustained a lameness after playing in the garden allotment. Orthogonal radiographs revealed a surgical, long oblique spiral mid-diaphyseal fracture of the left tibia (Fig. 1 and 2).
A medial approach to the left tibial shaft was performed, with careful preservation of the saphenous vein throughout the procedure.
The fracture site was identified and anatomically reduced using bone-holding forceps. Internal fixation was achieved using dual plating in an orthogonal configuration, providing optimal mechanical stability.
Medial plate: A 1.5 mm 7-hole locking compression plate (LCP) was applied in bridging fashion, secured with two bicortical locking screws in both the proximal and distal fracture fragments.
Cranial plate: A 1.5 mm 5-hole LCP was also applied in bridging mode, with two locking screws in the proximal fragment (the most proximal bicortical and the distal monocortical due to proximity to the fracture line), and two bicortical locking screws in the distal fragment.
The surgical wound was closed in multiple layers:
Subcuticular layer: Simple continuous pattern using 2-metric Monocryl
Skin: Intradermal closure with 2-metric Monocryl
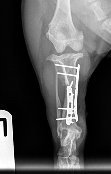
Postoperative radiographs confirmed excellent implant positioning, appropriate fracture alignment, and good apposition of fracture ends (Fig. 3 and 4).
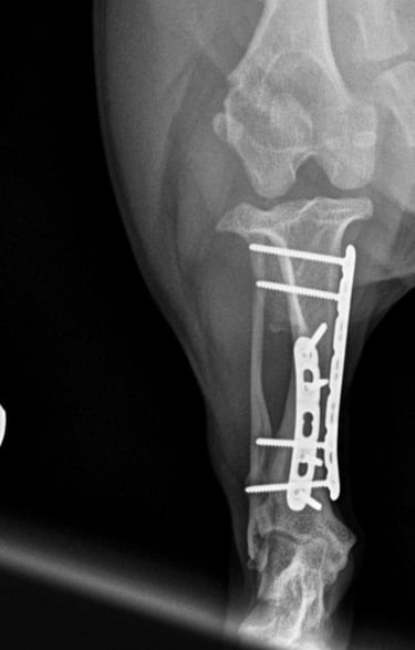
At the 6-week postoperative recheck, radiographs showed good progression of fracture healing with maintained alignment and implant integrity (Fig. 5 and 6).




Fig. 1
Fig. 2




Fig. 3
Fig. 4




Fig. 6
Fig. 5
Troya Surgery
Specialized mobile surgical services for veterinary practices.
Contact details
Email: troya.surgery@gmail.com
Telephone: 0771 625 1040
© 2024. All rights reserved.
WhatsApp: +44 771625 1040


