Soft Tissues Cases
Case 1 - Jackson
Traumatic abdominal hernia repair – DSH, 7y, male
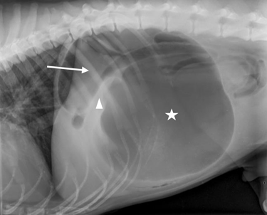
Case 2 - Captain (Case report)
Gastric dilatation and volvulus with partial splenectomy – German Shepherd Dog, 7y, male neutered
Case 3 - Salem
Emergency case with anuria and lethargy - Bombay cat, 2y, male neutered
Case 4 - Peggy
Brachycephalic Obstructive Airway Syndrome surgery (BOAS) Pug, 2y, female
Troya Surgery
Specialized mobile surgical services for veterinary practices.
Contact details
Email: troya.surgery@gmail.com
Telephone: 0771 625 1040
© 2024. All rights reserved.
WhatsApp: +44 771625 1040










