Orthopaedic Cases
Case 1 - Charlie
Ilial wing fracture – DSH, 2y, female
Case 2 - Buddy
Lateral malleolus fracture - Golden retriever, 2y male
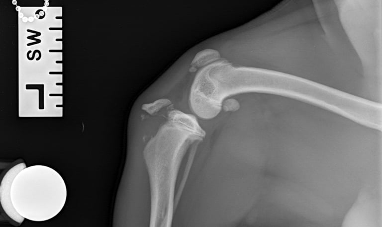
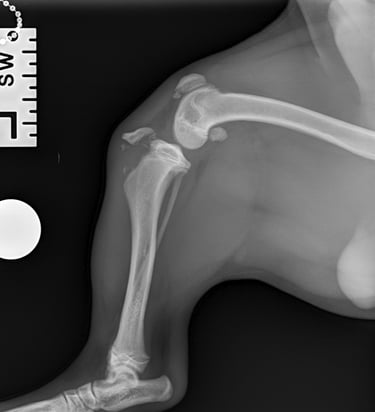
Case 3 - Ralph
Tibial tuberosity avulsion fracture - FBD, 25-week-old, male entire
Case 4 - Luna
Cranial Cruciate Ligament Disease CCLD - American Bulldog, 5y, female
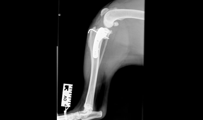
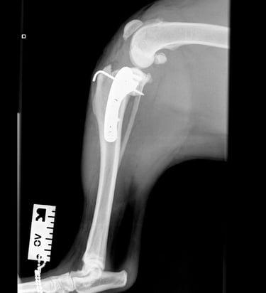
Case 5 - Bonnie
Tibia fracture - Mini Dachshund, 2y, female
Troya Surgery
Specialized mobile surgical services for veterinary practices.
Contact details
Email: troya.surgery@gmail.com
Telephone: 0771 625 1040
© 2024. All rights reserved.
WhatsApp: +44 771625 1040








